Smile Gallery
Transform Your Smile: Real Results, Stunning Before & Afters
Ready to love your smile again? Our Smile Gallery showcases jaw-dropping transformations from real patients—before and after their treatments. Watch as imperfections disappear, leaving behind radiant, confident smiles.
The proof is in the pictures: See how we’ve helped countless people achieve the smile they’ve always dreamed of. What could your transformation look like? Browse now!
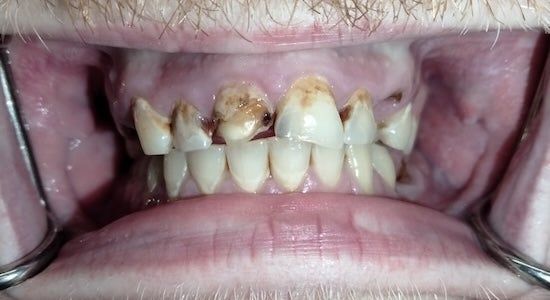
Olga's Case

Olga was dreaming of restoring her teeth and removing some of the ancient dental work. She could not imagine how well her smile will look after the makeover.
Rick's Case

Rick wanted to make his upper teeth show, because he did not like his smile and could not chew food properly. After receiving prosthodontic treatment Rick is very happy with his new smile.
Katty's Case

Katty came in with a broken tooth and ended up bettering her smile overall.
Vera's Case

Vera came into the office crying that her front bridge fell out and that her granddaughter was scared of her. Now Vera and her family love her new smile.
Maksim's Case

Maksim forgot how to smile and was worried that he could not get a job. Now Maksim is happily employed and with a great smile.
Maria's Case

Maria had severe tooth pain and could not eat. She forgot how to smile and could not believe she could enjoy food again.
Ready for Your Own Smile Transformation?
Don’t wait any longer to achieve the smile you deserve. Reach out today to schedule your consultation and take the first step toward a brighter, more confident you.

